

近日,一名年轻女性患者突发头痛加剧至昏迷不醒,紧急来白银市中心医院就诊。经检查,患者右侧基底节区脑出血,而且出血量较大,情况十分危重。神经外科主任杨永春当即带领医疗团队争分夺秒地为患者进行手术,展开了一场与死神之间的“生命保卫战”......最终患者病情得到了初步控制。

“但患者凝血功能不好、持续出血,血压控制并不理想,危险随时可能发生,必须准备二次手术。”杨永春事后回忆道“虽然二次手术难度很大,但大家齐心协力,在省上专家的远程指导下,我们抓住最佳手术时机,最终顺利完成了手术。”手术虽然成功了,但两次手术后愈合和恢复情况依然不乐观,患者转入ICU病房继续治疗。
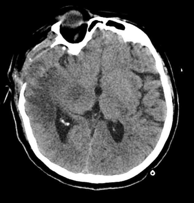
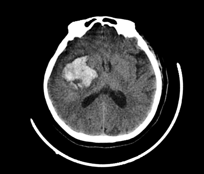
(下图左为患者术前出血照片,右为术后照片)


“患者入ICU后,一直处于昏迷状态,给予呼吸机支持治疗、后根据病情给予气管切开氧疗等辅助治疗......”ICU主治大夫高志英谈到。 24小时不间断对生命的执着守护,大家没有放弃,患者也没有放弃。“别拿被子压我,我难受。我要喝酸奶......”5天之后,在重症医护团队的全力救治下,这个年轻的生命终于奇迹般地苏醒了。医护人员欢欣鼓舞,这一刻,所有的坚持努力和辛苦付出都是值得的!“患者恢复的很好,这超出了我们的预料,当然也感到无比欣慰!”杨永春主任微笑着说道。
不久,患者顺利转入康复科,进一步接受康复治疗。她脸上露出了久违的笑容,遇到熟人,依然可以清晰地回忆往事,和大家愉快地交谈。 “我无法用语言表达自己的感激之情,中心医院医护人员给了我爱人无微不至的关怀,不仅用高超的医术挽救了她的生命,更用家人般的关爱温暖着我们的心,谢谢......”患者爱人激动地说道,他的声音有些哽咽,但眼里闪烁的泪光,映射出无限的温暖和喜悦。
甘公网备案62040302000118号